关注
管理员 管理员
徐州和平妇产医院 25-5-8 浏览3471
洁牙越勤越好?一年洗几次才健康?答案颠覆认知!
图片
-点击上方链接  可直接线上预约挂号哦-

你是否有

刷牙出血

口腔异味

牙龈红肿等困扰

严重时

牙龈退缩、牙齿松动

照镜子时是这样的?


面对这种情况,医生可能会建议你洁牙。很多人对洁牙存在错误的认知,误认为洁牙是“打磨”牙齿,牙齿会越洁越薄,越洁越松,从而不敢洁牙。


其实并不是这样

那么究竟什么是洁牙?

怎么洁牙?

洁牙到底好不好呢?


什么是洁牙


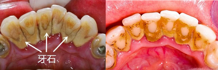
洁牙,也就是老百姓俗称的洗牙,也叫“龈上洁治术”,是指用洁治器械去除龈上牙石、菌斑和色素,并抛光牙面,以延迟菌斑和牙石再沉积的过程。日常刷牙不能代替洁牙,牙结石一旦形成,无法通过刷牙等日常清洁方式去除。那么牙结石是如何形成的呢?

牙缝和靠近牙龈沟等位置,既能藏食物残渣,又不容易被清洁,细菌在这些地方附着繁殖,逐渐形成了牙菌斑。它们大多是附在牙齿上的薄薄一层,可通过刷牙等方式去除,如果没有及时清理,菌斑长时间附着牙面,再加上唾液中矿物盐的逐渐沉积,如钙磷等矿物质与牙菌斑逐渐“结合”在一起,形成牙结石,就会牢牢地趴在了牙齿上。这些牙石一般是黄白色或黄褐色,沉积在牙缝和牙龈沟附近,跟牙齿融为一体,平时很难引起注意。牙结石一旦形成,就需要让牙医用专业的器械去清理。

牙菌斑是引发牙周病的主要原因,牙周病会引起牙龈发炎、出血和口腔异味,严重时产生牙齿松动、移位甚至脱落等问题。洁牙,最直接的效果就是去掉牙面的菌斑、牙石、色素等牙垢,让牙齿变得更加美观,而洁牙的真正目的是为了防治口腔疾病。

定期洁牙的作用


(1) 防治牙周病:

牙菌斑、牙结石的长期堆积和刺激,会引起牙龈炎、牙周炎等牙周疾病,主要症状有牙龈出血、牙龈红肿、牙齿松动、牙齿脱落等。定期洁牙可以减少牙周疾病的发生,也是治疗牙周病的主要手段之一。

(2) 维护口腔卫生:

通过专业操作,可以清洁日常刷牙难以涉及的部位,保持口腔清洁,减少口腔异味。

(3) 提高美观度:

去除牙齿表面的软垢、色斑和牙结石,使牙齿恢复自然色泽,提升个人形象。

(4) 早期发现口腔问题:

洁牙过程中,牙科医师能全面检查到牙齿和牙周的潜在问题,有助于早期诊断和治疗。

(5)促进全身健康:

牙周病是心脏病、中风等疾病的诱因之一,预防牙周病也是降低全身性疾病患病几率的重要措施。



如何洁牙


(1) 超声波洁牙:

利用高频率的超声波震荡,使牙石脱离牙齿表面,并配合水流将脱落的牙石和菌斑冲刷掉。这种方式适用于去除大部分牙结石和菌斑。


(2) 喷砂:

利用压缩空气将微小的铝盐或硅盐颗粒以高速喷射到牙齿表面,通过这些微粒的冲击作用去除牙齿表面的色素沉着。喷砂对于去除牙齿表面的烟渍、茶渍等外源性色素沉积尤其有效。


洁牙的几个误区


1、洗牙会把牙缝洗大?

其实不是的。健康的牙间隙为牙龈乳头填满,长期不洁牙,形成大块牙石填塞牙缝,压迫牙龈导致牙龈退缩。洁牙后,牙缝中的牙结石被清除,原本的牙间隙就会显露出来。所以不是洁牙导致牙缝变大,而且牙结石导致的。

2、洁牙会让牙松动?

不会。牙齿就像大树一样,树有根扎在土壤中,牙齿也有牙根长在牙槽骨内,水土流失树根扎不稳了,树就松动,牙也一样,松动是因为牙周炎,牙槽骨长期受到炎症侵蚀,骨头吸收没有了牙根就扎不稳了。为什么洁完牙才会松?牙结石有的时候像水泥板一样糊在牙齿上,把牙齿连在一起,让你对牙齿的松动毫无察觉,等到牙槽骨吸收严重,牙齿就会一颗接一颗松动脱落。

3、洁牙又酸又疼?

洁牙本身对牙齿是没有伤害的,牙结石主要附着于牙龈边缘以及牙颈部,每个人牙颈部的釉质附着情况不同,还有的人存在牙龈退缩、楔状缺损等问题,这些位置比较薄弱,就容易感到酸痛。此外长期不洁牙,牙石积存较多较厚的,需要用较大的功率反复清洁,不适感可能重一些。如果定期洁牙,牙石不多,清理起来也就不会难受了。每个人的牙齿情况不同,因此体验也会有所不同。

4、洁牙后牙齿会变白?

健康的牙齿,牙冠呈乳白色或淡黄色,牙齿表面光滑。一些人洁牙后觉得牙齿变白了,其实是牙垢、色素等遮盖牙面,洗牙不是漂白牙齿,它的作用是去除牙齿上的牙结石、牙斑菌、色素、软垢等,还原牙齿本来的颜色。


多久洁一次牙?


建议常规患者间隔6-12个月定期洗一次牙,特别是以下几类人更需重视:

(1) 吸烟者,长期饮茶、咖啡人士

(2) 牙齿不齐易积累牙石者

(3) 正在接受正畸治疗的患者

(4) 牙周病患者

洁牙后注意事项


(1) 短期内可能感觉牙齿敏感或牙龈轻微出血,属正常现象。

(2) 避免吃硬物、冷热刺激,使用抗敏感牙膏减轻不适。

(3)加强日常口腔卫生,正确刷牙,使用牙线或间隙刷辅助清洁牙齿。

  矿西口腔科专家 

徐方方.jpg王瑶.jpg


图片


图片



END


图片

苏医广(2024)第08-27-3203-1号




生成海报

打赏作者

更多
收藏
淮海最强音
关注徐州,解读徐州
淮海最强音
长按扫码关注公众号
取消